GENERAL MEDICINE PREFINAL CASE


36 YEAR OLD MALE WITH ACUTE PANCREATITIS WITH ALCOHOL DEPENDENCE SYNDROME 

 This is an online E log book to discuss our patient's de-identified health data shared after taking his/her/guardian's signed informed consent.Here we discuss our individual patient's problems through series of inputs from available global online community of experts with an aim to solve those patient's clinical problems with collective current best evidence based inputs".

  This E log book also reflects my patient-centered online learning portfolio and your valuable comments on comment box is welcome.

Name: KASTURI VIJAY KUMAR 

Roll no: 56


MEDICINE CASE DISCUSSION:


I've been given this case to solve in an attempt to understand the topic of "Patient clinical data analysis" to develop my competency in reading and comprehending clinical data including history, clinical findings, investigations and come up with a diagnosis and treatment plan.


VIEW OF THE CASE:


A 36 years old gentleman resident of manchala mandal of Rangareddy district, police jeep driver by occupation came to the hospital on 3rd January with the chief complaints of pain abdomen from 1st January, belching from 1st January. 


HISTORY OF PRESENT ILLNESS:


Patient was apparently asymptomatic till 28th December, then from 29th December he started taking alcohol in excess amount till 31st December. From 1st January, he started experiencing pain in the abdomen which is dragging type, sudden in onset rapidly progressive, without any aggravating and releiving factors and not radiating.

Associated with profused sweating

Patient also complaints of increased belching from 1st January.

No history of nausea, vomitings, fever, chills

No history of decreased appetite, previous jaundice episodes,pruritis

No history of constipation, fatty stools, malena

No history of oliguria, hematuria, involuntary movements, tremors, altered sleep


PAST HISTORY:

Similar episode of pain abdomen in last June. And releived the next day.

He was traumatised twice in the past after consuming alcohol.

First incident: 10 years back - got injuries to nose, mouth and tongue and sutured for tongue injuries.

Second incident- in June 2020, after some occupational issues.

Past medical history: not a known case of diabetes, hypertension, tuberculosis, asthma, thyroid disorder, seizures, 

Past surgical history: no significant surgical history.


FAMILY HISTORY: Insignificant 


PERSONAL HISTORY:

Appetite: decreased appetite after alcohol  intake and normal in abstinence 

Diet : mixed

Bladder habits: regular

Bowel habits: regular

Sleep : Adequate 

Addictions:

Chronic alcoholic since 10 years

Consumes whisky

Atleast 5 times/week

Consumes 180ml minimum per sitting

No other addictions


GENERAL PHYSICAL EXAMINATION:

Conscious, coherent and cooperative 

Moderately built and moderately nourished 

Consent-taken

Examined in a well lit room

Pallor- no pallor

Icterus- present 

Cyanosis- no cyanosis

Clubbing- no clubbing

Koilonychia- no koilonychia

Generalised lymphadenopathy- no generalised lymphadenopathy 

Pedal edema- no pedal edema



VITALS:

Temperature: afebrile 

Pulse rate: 86bpm, regular, normal volume measured in radial artery in sitting position

Respiratory rate: 16 cycles per minute

Blood Pressure: 140/110 mm of Hg measured in left arm in sitting position.

SpO2: 98% at room air

SYSTEMIC EXAMINATION:

CARDIOVASCULAR SYSTEM: First and second heart sounds heard. No murmurs

RESPIRATORY SYSTEM: Normal vesicular breath sounds with bilateral air entry present 

CENTRAL NERVOUS SYSTEM: no focal neurological deficit and normal higher mental functions with 


PER ABDOMEN EXAMINATION:


INSPECTION: All 9 regions

Shape: globular (protuberant)

Distension: distended

Flanks: full

Guarding: present 

Umbilicus- central, inverted

Skin: normal, shiny with scar of previous injury, no pigmentation, no engorged veins

Divarication of recti: absent

Dilated veins: absent

Abdominal wall movements: normal with respiration 

No visible gastric peristalsis

No hernial orifices and cough impulse

External genitalia: normal

Cullen sign: absent

Gray turner sign: absent

Fox sign: absent

Bryant sign: absent





PALPATION:

No Local rise of temperature

Tenderness: tender abdomen in epigastrium, right hypochondrium, right lumbar and umbilical regions

No guarding, rigidity and palpable masses

Liver: no hepatomegaly

Spleen: no splenomegaly

Gall bladder: not palpable

Murphy sign: absent

Measurements:

Abdominal girth at the umbilicus: 38 inches

Xiphisternum to umbilicus: 9 inches

Umbilicus to pubic symphysis: 5 inches

Spinoumbilical : 19 inches


PERCUSSION

Shifting dullness: absent

Fluid thrill : absent

Liver span: normal

Spleen span: normal



AUSCULTATION:

bowel sounds: normal

No abnormal sounds heard

INVESTIGATIONS:


SERUM AMYLASE:223

SERUM LIPASE:86.1

LIVER FUNCTION TEST:






ULTRASONOGRAPHY ABDOMEN




CHEST X RAY:




COMPLETE BLOOD PICTURE 




COMPLETE URINE EXAMINATION 




RENAL FUNCTION TEST 




HEMOGRAM




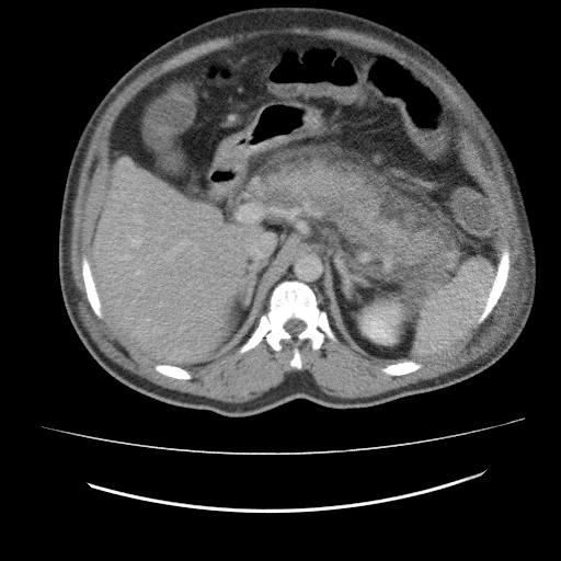
CT (PLAIN AND IV CONTRAST): ABDOMEN AND PELVIS











ELECTROCARDIOGRAPHY 




2D ECHOCARDIOGRAPHY :

&


BISAP SCORE:


B- Blood urea nitrogen>25mg/dl -0

Impaired mental status- 0

Systemic inflammatoryresponsesyndrome-0

Age>60 years -0

Pleural effusion-1

Total BISAP score = 1

PSYCHIATRIC REFERRAL:



DIAGNOSIS:

ACUTE PANCREATITIS WITH ALCHOL DEPENDENCE SYNDROME 


TREATMENT:

1. IV FLUIDS NS/RL/DNS AT 50ml/hour

2. INJ. PANTOP 40 mg IV/OD

3. INJ. ZOFER 4mg IV/SOS

4. INJ. TRAMADOL 1 AMPOULE IN 100ml NS OD

5. INJ. BUSCOPAN 2CC IV/SOS

6. TAB. PARACETAMOL 500mg PO/SOS

7. THIAMINE

8. RYLES TUBE

9. SOAP WATER ENEMA

10. INPUT AND OUTPUT CHARTING

11. TEMPERATURE CHARTING

12. GRBS 6TH HOURLY










Comments

Popular posts from this blog

Internship

45 YEAR MALE WITH SOB, ABDOMINAL SWELLING

65 YEARS OLD MALE WITH VIRAL PNEUMONIA SECONDARY TO COVID-19.